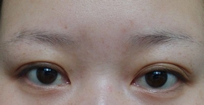
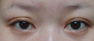
1、裸眼一双 没有任何打底 显得非常肿 又肿又难看 两只眼睛大小眼 这样就可以用到双眼皮线 非常简单 这样眼睛就比较对称了 还有化妆品 日常的话美瞳就不用带了 伤眼




2、bb霜打底 让肤色更白皙



3、然后是眉毛 按照自己本身的形状 轻轻描绘



4、眼线膏 眼线液 眼线笔都可以 就是要画最重要的眼线了 眼睛提神必不可少的神器~ 同样根据自己的眼型轮廓 慢慢描绘 ~





5、上眼影了 粉色 让后深粉色





6、最后后眼眶上棕色 白色打高光和眼头 棕色眼影下眼窝也要相应刷一点 上下眼睛相互映衬 让妆容看起来更加协调








7、夹睫毛 刷睫毛


8、鼻影和高光 就完成了 简单的日常妆容





9、成品 像素不好 比较粗糙

